Xanh methylene là một hợp chất hóa học quen thuộc, được ứng dụng rộng rãi trong y học, sinh học và các ngành công nghiệp. Với đặc tính nhuộm và khả năng khử mạnh, nó đã trở thành lựa chọn hàng đầu trong nhiều lĩnh vực. Nếu bạn đang thắc mắc xanh methylene là gì, công dụng ra sao hoặc muốn biết xanh methylen giá bao nhiêu, hãy cùng chúng tôi tìm hiểu chi tiết qua bài viết này.
Xanh Methylen là gì?
Đây là một hợp chất hữu cơ thuộc nhóm phenothiazin với công thức hóa học C₁₆H₁₈ClN₃S. Hợp chất này được phát hiện vào cuối thế kỷ 19 và ban đầu được sử dụng làm thuốc nhuộm trong ngành dệt. Tuy nhiên, các nghiên cứu khoa học sau này đã khám phá ra nhiều công dụng của xanh methylen trong y học và sinh học, mở ra cánh cửa cho những ứng dụng mới đầy tiềm năng.
Thông Tin Chi Tiết Về Sản Phẩm
Tên gọi:
Xanh methylene được biết đến với nhiều tên gọi khác nhau, bao gồm Methylene Blue, methylen xanh, hoặc methylthioninium chloride.
Dạng tồn tại:
Methylene Blue có hai dạng tồn tại phổ biến:
- Dạng bột: Dạng bột có màu xanh đậm, thường được sử dụng trong các ứng dụng công nghiệp như nhuộm vải, sản xuất mực in, và trong các phản ứng hóa học.
- Dung dịch xanh methylen: Dung dịch đã được pha sẵn với nồng độ nhất định, thường dùng trong y tế để sát khuẩn, điều trị nhiễm trùng ngoài da, và trong nghiên cứu sinh học để nhuộm tế bào, vi khuẩn.

Methylene ở dạng bột thường có màu xanh đậm đặc trưng
Độ tinh khiết:
Sản phẩm Xanh Methylene đạt độ tinh khiết cao, trên 95%, đảm bảo chất lượng và hiệu quả sử dụng.
Quy cách đóng gói:
Xanh methylene được đóng gói đa dạng để phù hợp với nhu cầu sử dụng:
- Gói 25g: Phù hợp với nhu cầu sử dụng nhỏ, cá nhân hoặc phòng thí nghiệm.
- Gói 100g: Dành cho nhu cầu sử dụng lớn hơn, trong các cơ sở y tế, phòng khám.
- Can 1L (dung dịch): Thường sử dụng trong các phòng thí nghiệm, bệnh viện, hoặc các cơ sở sản xuất, nghiên cứu.
Tính chất:
- Độ tan: Hợp chất này tan tốt trong nước, tạo thành dung dịch có màu xanh lam đặc trưng.
- Độ ổn định: Sản phẩm ổn định trong điều kiện bảo quản khô ráo, thoáng mát, tránh ánh nắng trực tiếp.
Phương Pháp Điều Chế Xanh Methylene
Quy trình sản xuất Methylene Xanh là một quá trình hóa học phức tạp, thường được thực hiện thông qua phương pháp oxy hóa các hợp chất gốc phenylamin, cụ thể là dimethylaniline. Dưới đây là mô tả chi tiết hơn về quy trình này:
1. Chuẩn bị nguyên liệu:
Giai đoạn đầu tiên của quy trình sản xuất là chuẩn bị các nguyên liệu cần thiết. Hai thành phần chính bao gồm:
- Dimethylaniline: Đây là một hợp chất hữu cơ thuộc nhóm amin thơm, đóng vai trò là tiền chất cho quá trình tổng hợp xanh methylene. Dimethylaniline thường được sản xuất từ aniline thông qua quá trình methyl hóa.
- Chất oxy hóa: Lưu huỳnh (S) hoặc các hợp chất có tính oxy hóa tương đương được sử dụng để oxy hóa dimethylaniline trong quá trình tổng hợp. Lựa chọn chất oxy hóa phụ thuộc vào điều kiện phản ứng và yêu cầu về sản phẩm cuối cùng.

Dimethylaniline là 1 trong những nguyên liệu chính để điều chế methylene xanh
2. Quá trình tổng hợp:
Đây là giai đoạn quan trọng nhất, quyết định sự thành công của quy trình sản xuất Xanh Methylene. Các bước tiến hành như sau:
- Phản ứng giữa dimethylaniline và lưu huỳnh: Dimethylaniline được cho phản ứng với lưu huỳnh trong môi trường được kiểm soát chặt chẽ về nhiệt độ và áp suất. Phản ứng này tạo ra một hợp chất trung gian.
- Oxy hóa: Hợp chất trung gian được tạo thành ở bước trên tiếp tục được oxy hóa để tạo ra xanh methylene dạng thô. Quá trình oxy hóa này có thể được thực hiện bằng nhiều phương pháp khác nhau, sử dụng các tác nhân oxy hóa như không khí, oxy, hoặc các hợp chất oxy hóa khác.
3. Làm sạch và tinh chế:
Sản phẩm xanh methylene thô thu được sau quá trình tổng hợp thường chứa nhiều tạp chất. Do đó, cần phải tiến hành các bước làm sạch và tinh chế để đạt được độ tinh khiết yêu cầu.
- Kết tinh: Methylene Blue thô được hòa tan trong dung môi thích hợp và sau đó được kết tinh lại. Quá trình kết tinh giúp loại bỏ các tạp chất không tan và thu được sản phẩm tinh khiết hơn.
- Các kỹ thuật tinh chế hiện đại: Ngoài kết tinh, các kỹ thuật tinh chế hiện đại khác như sắc ký, chiết xuất, hoặc lọc cũng có thể được sử dụng để loại bỏ hoàn toàn các tạp chất còn sót lại, đảm bảo độ tinh khiết cao nhất cho sản phẩm.
Xanh Methylen Có Tác Dụng Gì?
Xanh Methylene là một hợp chất hóa học với phổ ứng dụng đáng kinh ngạc. Trong lĩnh vực hoá chất y tế, nó được biết đến với khả năng sát khuẩn nhẹ, thường được sử dụng để điều trị các vết thương ngoài da, bỏng nhẹ và nhiễm trùng da. Nó cũng có tác dụng ức chế sự phát triển của vi khuẩn, hỗ trợ điều trị nhiễm trùng đường tiết niệu.

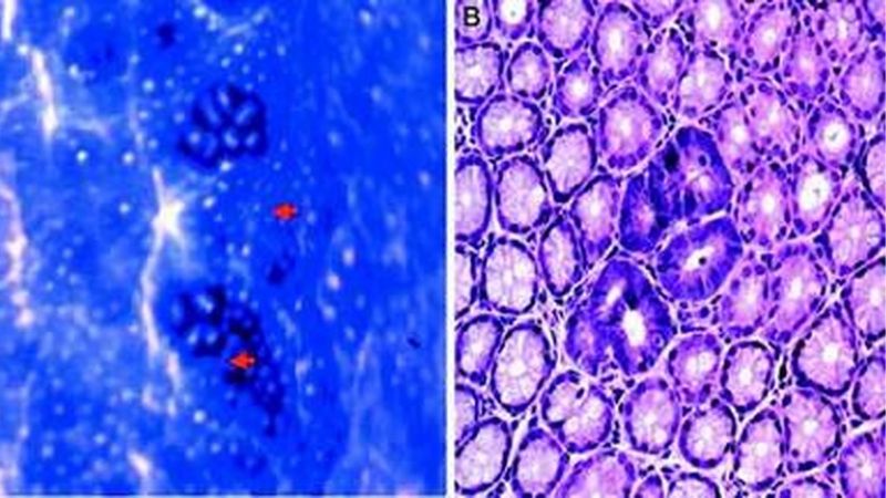
Các mô được nhuộm xanh bởi dung dịch Methylene Blue
Ngoài ra, Methylene Blue còn được dùng làm chất giải độc cho các trường hợp ngộ độc cyanide và methemoglobinemia (một rối loạn máu). Trong phẫu thuật, bác sĩ sử dụng Xanh Methylene này để nhuộm màu các mô, giúp phân biệt rõ ràng các cấu trúc và hạn chế tối đa tổn thương cho các cơ quan lân cận.
Không chỉ dừng lại ở y tế, Xanh Methylene còn đóng vai trò quan trọng trong công nghiệp. Nó là một loại thuốc nhuộm phổ biến, được ứng dụng trong ngành dệt may, giấy và da. Với đặc tính oxy hóa khử, hợp chất này còn được dùng làm chất chỉ thị trong các phản ứng hóa học và là một thành phần trong sản xuất mực in.
Cách Sử Dụng Và Bảo Quản Xanh Methylene Hiệu Quả
Tùy vào mục đích, Methylene Blue có thể được pha loãng với nước hoặc dung môi khác. Trong y học, nó được sử dụng theo liều lượng chỉ định của bác sĩ. Trong nhuộm và thí nghiệm khoa học, cần điều chỉnh nồng độ cho phù hợp để đạt hiệu quả tối ưu.

Nhớ hỏi ý kiến bác sĩ để dùng Methylene Xanh đúng liều lượng, đúng cách
Để bảo quản dung dịch methylene xanh, bạn cần giữ ở nơi khô ráo, thoáng mát, tránh ánh sáng trực tiếp và nhiệt độ cao. Các sản phẩm Xanh Methylene giá thấp hoặc không đảm bảo chất lượng có thể dễ dàng bị hư hỏng nếu không được bảo quản đúng cách.
Lưu ý an toàn: Khi sử dụng methylene xanh, cần đeo găng tay và kính bảo hộ để tránh tiếp xúc trực tiếp với da và mắt. Nếu dính vào da, hãy rửa ngay với nước sạch.
Địa Chỉ Mua Hàng Và Đơn Vị Phân Phối Uy Tín
Xanh Methylen mua ở đâu để đảm bảo chất lượng? Hanimex tự hào là đơn vị phân phối Methylene Blue uy tín, đáp ứng đa dạng nhu cầu của khách hàng.
Tại sao nên chọn Hanimex?
- Sản phẩm đạt tiêu chuẩn quốc tế, độ tinh khiết trên 95%.
- Giá cạnh tranh, dịch vụ khách hàng tận tâm.
- Giao hàng nhanh chóng trên toàn quốc.
Liên hệ ngay với Hanimex để được tư vấn và đặt mua Xanh Methylene chính hãng với giá tốt nhất!










Hương Giang –
Giao hàng đúng hẹn, nhân viên tư vấn nhiệt tình.